Understanding Hodgkin Lymphoma Cell Origins Could Yield Better Diagnostics
Researchers at Weill Cornell Medicine have made progress in understanding how classical Hodgkin lymphoma develops, which may lead to improved diagnostic tools, and treatments. Their work focuses on the origins of the malignant cells in this type of lymphoma and how they interact with the surrounding immune environment.
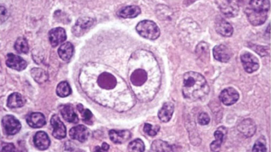
Classical Hodgkin lymphoma is characterized by the presence of large, abnormal cells called Reed-Sternberg cells, which derive from B lymphocytes but lose typical B-cell markers. Scientists have long sought to understand how these cells evade immune detection and proliferate within lymph nodes.
Recent studies from Weill Cornell Medicine have explored the genetic and molecular features of Hodgkin lymphoma cells. In 2015, researchers sequenced the genome of classical Hodgkin lymphoma, identifying key mutations that contribute to the disease. This genomic analysis revealed alterations in genes involved in immune regulation and cell survival, helping explain how the cancerous cells avoid destruction by the immune system.
Further research has shown that certain mutations in lymphoma cells can lead to the production of proteins that enhance their competitive advantage over normal immune cells. These “super-competitive” traits allow malignant cells to thrive in the lymph node microenvironment, even as they suppress effective immune responses.

The tumor microenvironment itself plays a significant role in supporting aggressive lymphomas. Studies indicate that signaling molecules and cellular interactions within the lymph node can promote lymphoma growth and survival. Understanding these interactions is critical for developing therapies that disrupt the supportive network around cancer cells.
More recently, Weill Cornell Medicine has collaborated with other medical centers to advance lymphoma care through shared research and clinical initiatives. These collaborations aim to translate laboratory findings into better diagnostic approaches and personalized treatment strategies for patients with Hodgkin lymphoma and related blood cancers.
By continuing to investigate the cellular origins and behavior of Hodgkin lymphoma, scientists hope to identify biomarkers that could enable earlier detection and monitor treatment response more effectively. Insights into how lymphoma cells originate, evolve, and interact with their surroundings may also reveal new targets for therapy.
As research advances, the focus remains on improving outcomes for patients through a deeper understanding of the disease at the molecular level. The work being conducted at institutions like Weill Cornell Medicine represents a step toward more precise diagnostics and effective interventions for Hodgkin lymphoma.